Suffolk County Police loses first member to COVID-19
Lieutenant Robert Van Zeyl, a nearly 30-year veteran of the department, died on January 20 after having tested positive for the virus on January 3.
Lieutenant Robert Van Zeyl, a nearly 30-year veteran of the department, died on January 20 after having tested positive for the virus on January 3.
Biden to make 3rd round of stimulus a top priority
As President-elect Biden prepares to take office today, he's made it clear that a third round of stimulus payments is one of his top priorities. But there are still questions as to when Americans could see the payments and who will be eligible.
As President-elect Biden prepares to take office today, he's made it clear that a third round of stimulus payments is one of his top priorities. But there are still questions as to when Americans could see the payments and who will be eligible.
Oxygen thefts mount as Mexico reports record coronavirus deaths
Thefts of oxygen mounted as Mexico reported its highest daily death toll since the coronavirus pandemic began, with 1,584 deaths confirmed Tuesday. There was also a near-record one-day rise in new virus cases of 18,894.
Thefts of oxygen mounted as Mexico reported its highest daily death toll since the coronavirus pandemic began, with 1,584 deaths confirmed Tuesday. There was also a near-record one-day rise in new virus cases of 18,894.
NYC will run out of COVID vaccine on Thursday, says de Blasio
New York City will run out of first doses of COVID-19 vaccine doses sometime Thursday without fresh supplies, Mayor Bill de Blasio said Tuesday.
New York City will run out of first doses of COVID-19 vaccine doses sometime Thursday without fresh supplies, Mayor Bill de Blasio said Tuesday.
COVID-19 mutations are rapidly appearing as US surpasses 400,000 deaths
The race against the virus that causes COVID-19 has taken a new turn: Mutations are rapidly popping up, and the longer it takes to vaccinate people, the more likely it is that a variant that can elude current tests, treatments and vaccines could emerge.
The race against the virus that causes COVID-19 has taken a new turn: Mutations are rapidly popping up, and the longer it takes to vaccinate people, the more likely it is that a variant that can elude current tests, treatments and vaccines could emerge.
Biden pays tribute to pandemic victims in National Mall ceremony
Joe Biden and Kamala Harris spoke at a ceremony on the National Mall paying tribute to the more than 400,000 U.S. victims of the pandemic.
Joe Biden and Kamala Harris spoke at a ceremony on the National Mall paying tribute to the more than 400,000 U.S. victims of the pandemic.
Trump issues commendations to Operation Warp Speed members, including Fauci, Birx
President Donald Trump issued commendations to a number of people, including Dr. Anthony Fauci and Dr. Deborah Birx, for their contributions to Operation Warp Speed on his final day in office.
President Donald Trump issued commendations to a number of people, including Dr. Anthony Fauci and Dr. Deborah Birx, for their contributions to Operation Warp Speed on his final day in office.
'COVID hunters' study how coronavirus spreads
Researchers at Northwell Health have been collecting samples of SARS-CoV-2 to learn about how it spreads.
Researchers at Northwell Health have been collecting samples of SARS-CoV-2 to learn about how it spreads.
Biden, Harris honor COVID-19 victims at Lincoln Memorial on eve of Inauguration Day 2021
President-elect Joe Biden and Vice President-elect Kamala Harris kicked off inaugural events in Washington, D.C. on Tuesday with a lighting ceremony to honor the more than 400,000 Americans killed by the coronavirus.
President-elect Joe Biden and Vice President-elect Kamala Harris kicked off inaugural events in Washington, D.C. on Tuesday with a lighting ceremony to honor the more than 400,000 Americans killed by the coronavirus.
Janet Yellen, Biden's Treasury secretary pick, pushes for quick passage of $1.9 trillion COVID-19 relief plan
Janet Yellen, President-elect Joe Biden's choice as Treasury secretary, said Tuesday that the incoming administration would focus on winning quick passage of its $1.9 trillion pandemic relief plan, rejecting Republican arguments that the measure is too big given the size of U.S. budget deficits.
Janet Yellen, President-elect Joe Biden's choice as Treasury secretary, said Tuesday that the incoming administration would focus on winning quick passage of its $1.9 trillion pandemic relief plan, rejecting Republican arguments that the measure is too big given the size of U.S. budget deficits.
Gov. Murphy: NJ needs more vaccine doses now
New Jersey has administered about 388,000 doses (to about 3.9% of its population) of the vaccine.
New Jersey has administered about 388,000 doses (to about 3.9% of its population) of the vaccine.
US surpasses 400,000 COVID-19 deaths, more than any other country in the world
The United States reached a grim milestone Tuesday when reported COVID-19 deaths from Johns Hopkins University surpassed 400,000 - a death toll far greater than any other country in the world.
The United States reached a grim milestone Tuesday when reported COVID-19 deaths from Johns Hopkins University surpassed 400,000 - a death toll far greater than any other country in the world.
COVID-19 pandemic prompts SAT to remove optional essay, subject tests
The College Board said Tuesday it will eliminate the optional essay from the SAT and do away with subject tests amid a changing college admissions landscape.
The College Board said Tuesday it will eliminate the optional essay from the SAT and do away with subject tests amid a changing college admissions landscape.
Joe Biden arriving in Washington with big plans, big problems
Joe Biden is arriving in the nation's capital Tuesday -- ready to assume power as the nation reels from the coronavirus pandemic, soaring unemployment and grave concerns about more violence as he prepares to take the oath of office.
Joe Biden is arriving in the nation's capital Tuesday -- ready to assume power as the nation reels from the coronavirus pandemic, soaring unemployment and grave concerns about more violence as he prepares to take the oath of office.
American teen jailed in Cayman Islands for violating COVID law released
A college student from Georgia jailed in the Cayman Islands for violating COVID-19 quarantine measures is back home, according to media reports.
A college student from Georgia jailed in the Cayman Islands for violating COVID-19 quarantine measures is back home, according to media reports.
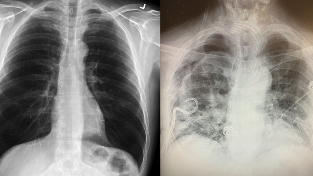
Texas surgeon noticing some post-COVID-19 lungs have more scar tissue than smokers’ lungs
A surgeon in Texas revealed she’s seeing a pattern of lung scarring in some patients who have had COVID-19 that’s worse than what she sees in smokers’ lungs.
A surgeon in Texas revealed she’s seeing a pattern of lung scarring in some patients who have had COVID-19 that’s worse than what she sees in smokers’ lungs.
Cuomo warns of second COVID wave amid new virus strains
New York Gov. Andrew Cuomo said new strains of the virus could lead to a second wave of the coronavirus pandemic.
New York Gov. Andrew Cuomo said new strains of the virus could lead to a second wave of the coronavirus pandemic.
Murphy: People 65, older cleared to get vaccine in NJ
Gov. Phil Murphy says New Jersey residents 65 and older, as well as those from 16 to 64 with serious medical conditions can begin to be vaccinated with the COVID-19 shot on Thursday.
Gov. Phil Murphy says New Jersey residents 65 and older, as well as those from 16 to 64 with serious medical conditions can begin to be vaccinated with the COVID-19 shot on Thursday.
California probing separate coronavirus variant linked to large county outbreaks: officials
Scientists have discovered a new coronavirus variant in California, different than the variant that was found in the U.K.
Scientists have discovered a new coronavirus variant in California, different than the variant that was found in the U.K.
As COVID-19 deaths surge, Los Angeles County lifts limit on number of cremations
As the COVID-19 death rate in Los Angeles County continues to climb, county officials have issued an emergency order lifting environmental limits on the number of cremations that can be performed every month.
As the COVID-19 death rate in Los Angeles County continues to climb, county officials have issued an emergency order lifting environmental limits on the number of cremations that can be performed every month.




















