Nurses union calls on CDC to reinstate universal mask guidelines
In a letter addressed to Dr. Rochelle Walensky, director of the CDC, the National Nurses Union called on the agency to reinstate universal mask-wearing guidelines and to implement more robust data tracking for infections among health care workers and breakthrough cases.
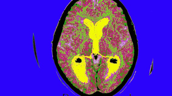
Hospitals and insurance companies won't offer new Alzheimer's drug
The first Alzheimer's drug to the market in 20 years is being dogged by controversy, as the Cleveland Clinic and New York's Mount Sinai hospital, along with a handful of insurance companies say they will not cover it.
New York has a critical shortage of blood
As blood supply has plummeted, demand has now skyrocketed. Hospitals are feeling the pinch.
Veterans, PTSD and fireworks amid July 4 weekend
For some, the typical Independence Day celebration can be triggering.
Does new Alzheimer's drug work? It may take 9 years to find out
When a controversial Alzheimer’s drug won U.S. approval, surprise over the decision quickly turned to shock at how long it might take to find out if it really works — nine years.
CDC: Sharp decline in cancer screenings for women during COVID-19 pandemic
Cancer screenings for women, particularly low-income minority women, plummeted during the COVID-19 pandemic.
Volunteers resume work at Long Island hospitals
After months away from their work due to the pandemic, hospital volunteers are finally getting back to supporting patients and medical workers across our area.
Walmart insulin: Low-cost, private brand launched for diabetes patients
Walmart unveiled a low-cost version of analog insulin that it will sell in an effort to help Americans who struggle to pay for the diabetes drug.
Newborn baby's face gets cut during emergency C-section
The birth of their baby was supposed to be a joyous occasion, but Darmaqus Williams says his newborn, Kyanni had to get 13 stitches to repair a cut across her left cheek that happened during an emergency C-section.
Nursing home deaths increased 32% in 2020 amid pandemic, report finds
A government watchdog says that deaths among Medicare patients in nursing homes soared by 32% last year amid the coronavirus pandemic.
Medicaid enrollment reaches record high during COVID-19 pandemic
A record 80.5 million Americans were enrolled in Medicaid or CHIP by January 2021 amid the COVID-19 pandemic, government data shows.
Some hospitals seeing no new COVID-19 patients, but delta variant could undo progress
Some hospitals are going days without any new COVID-19 patients for the first time in more than a year, but the milestone could be undone by the delta variant becoming more dominant in the U.S., putting unvaccinated Americans at risk.
Sleep apnea devices recalled over cancer risk concerns
Millions of sleep apnea machines are being recalled over cancer risk concerns.
Hospital workers' vaccine requirement challenge thrown out
A federal judge threw out a lawsuit filed by employees of a Houston hospital system over its requirement that all of its staff be vaccinated against COVID-19.
Alzheimer's patients could face copays of $11,500 for new drug, report says
A new $56,000-a-year Alzheimer’s drug would raise Medicare premiums broadly.
Radiation drug may improve survival rates for prostate cancer, study shows
A new study is showing improved survival in men with advanced prostate cancer from an experimental drug that delivers radiation directly to tumor cells.
Researchers hope mRNA technology used to make COVID vaccines can treat cancer, HIV, more
The mRNA technology used to create the vaccines helping beat back the coronavirus pandemic may offer additional breakthroughs in fighting other illnesses like HIV, Multiple Sclerosis, and even certain kinds of cancers.
Why nursing homes are still dealing with outbreaks despite vaccines
Nursing homes across the country are still reporting scattered COVID-19 outbreaks and COVID-associated deaths. Those facilities are subsequently following federal and state recommendations to pause visitations, causing disappointment and frustration among family members who hoped to get back to normal once the residents were fully vaccinated.
Pandemic's mental health toll on minorities | Resources
Online networks and other groups are trying to help minorities connect with therapists who look like them.
How some hospitals are bolstering LGBTQ services | Pride and Pandemic
In recent years, Mount Sinai and Northwell Health have opened medical and surgical centers dedicated to serving the diverse needs of a diverse LGBTQ community.



















