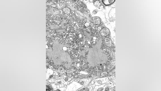
Teen who received life-saving transplant reacts to medical breakthroughs using pig organs
A human donor saved the life of 15-year-old Wilfre Mercedes. Today, after doctors successfully transplanted a pig's heart into a human patient, Mercedes is hopeful thousands of others on transplant waiting lists can go on living, just like he did.
COVID contact tracing now optional in NY; focus on testing, vaccination
New York will no longer require local health departments to conduct contact tracing for people who test positive for COVID-19, Health Commissioner Mary Bassett said, so that public health staff can focus on testing and vaccination.
Private insurers to cover home COVID-19 tests starting Saturday
Under the new policy, Americans will be able to either purchase home testing kits for free under their insurance or submit receipts for the tests for reimbursement, up to the monthly per-person limit.
NY plans COVID-19 booster mandate for healthcare workers
New York plans to require health care workers to get a COVID-19 booster.
COVID vaccine mandate: Supreme Court weighs rules for businesses, health care
The Supreme Court is hearing arguments about the vaccine-or-testing requirement for large employers and a separate mandate for health care workers.
US had 5 rabies deaths last year, highest total in a decade
CDC officials said the deaths were tragic and could have been prevented. They say some of the deaths occurred because people didn’t realize they’d been infected or refused life-saving shots.
NY Gov. Hochul gives State of the State speech
Hochul distanced herself from former Governor Andrew Cuomo and laid out a long list of proposals she says will improve the lives of New Yorkers.
COVID-19 cases surging but health experts say focus should be on hospitalizations, deaths
The explosive increase in U.S. coronavirus case counts is raising alarm, but some experts believe the focus should instead be on COVID-19 hospital admissions. And those aren’t climbing as fast. Each measurement has its value, health experts say.
As New York COVID cases soar, some experts worry about new CDC guidance
New York state on Tuesday reported 40,000 new cases of COVID statewide, pushing the state's positivity rate up near 20%. Hospitalizations are rising fast, too. That has some public health experts questioning the CDC's decision to shorten the recommended isolation period for people who test positive.
1st person in US to get COVID-19 shot now a vaccine activist
The first person in the U.S. to get a COVID-19 vaccine, New York nurse Sandra Lindsay, has since become a prominent face in the vaccination campaign.
CDC shortens COVID-19 quarantine recommendation to 5 days
The Centers for Disease Control and Prevention officials said the guidance is in keeping with growing evidence that people with the coronavirus are most infectious in the two days before and three days after symptoms develop.
COVID-19 at-home test kit purchases capped at CVS, other stores
Customers seeking at-home COVID-19 test kits from CVS stores will be limited to no more than six, according to a company spokesperson.
FEMA launching free NY COVID test sites
The Federal Emergency Management Agency will be setting up more COVID-19 testing sites in New York City before Christmas.
Internship program gives high schoolers a close look at nursing
Five days a week for a little over an hour each day, three Commack high school seniors are roaming different departments at Huntington Hospital as part of an internship with Wilson Tech. The students are learning about what it takes to become a nurse by shadowing the staff — all while keeping up with their high school workload.
Biogen halves price of Alzheimer's drug after criticism
The drugmaker said Monday that it will cut the wholesale acquisition cost of the drug by about 50% next month. That means the annual cost for a person of average weight will amount to $28,200.
Fentanyl overdoses become No. 1 cause of death among US adults, ages 18-45: 'A national emergency'
More adults between 18 and 45 died of fentanyl overdoses in 2020 than COVID-19, motor vehicle accidents, cancer and suicide
Supreme Court won't block New York's vaccine mandate for health workers
The U.S. Supreme Court has refused to block the COVID-19 vaccination requirement for New York health care workers who are seeking a religious exemption.
One year of COVID vaccines: Many lives saved, many needlessly lost
The first full year of the biggest vaccination drive in American history has saved many lives but has left many behind. The COVID-19 vaccines have proven incredibly safe and wildly effective, and many hoped they would bring an end to the crisis. But a year later, too many Americans remain unvaccinated and too many are dying.
'Pharma Bro' company reaches $40M settlement in price-gouging case
Vyera Pharmaceuticals, once owned by “Pharma Bro" Martin Shkreli, will pay $40 million to settle allegations it increased the price of a life-saving medication by 4,000%.
Biden: Prescription drugs ‘outrageously expensive’ in US, calls on Senate to act
President Joe Biden pushed his “Build Back Better” agenda, focusing on how provisions of the spending bill would lower the cost of prescription drugs for many.



















