NASA's VIPER mission: March 15 is the last day to send your name to the moon
NASA will give people until 11:59 p.m. ET on March 15 to submit their names.
NASA engineers have renewed hope to fix hobbled Voyager 1 after interstellar space data outage
The process of troubleshooting an issue with Voyager 1 traveling through interstellar space is complicated. It takes about 45 hours for commands to be sent and a response to come back, but NASA engineers recently got a new clue to solving the spacecraft computer issue.
Study reveals dogs can relieve stress, improve concentration in humans
A recent study published in the journal PLOS One suggests that certain activities might enhance individuals' brainwave patterns linked to rest and relaxation.
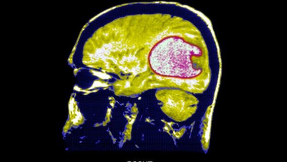
Scientists use new strategy to successfully shrink tumors in early brain cancer trials
Researchers converted immune cells from patients into "living drugs" with the ability to recognize and combat glioblastoma, a form of brain cancer.
SpaceX cleared for third Starship test flight from Texas
Space fans are preparing for the excitement of yet another SpaceX Starship Super Heavy test flight from East Texas.
'Devil comet' could become visible to the naked eye this month
Stargazers should check the sky to get a glimpse of 12PPons-Brooks which is heading toward its closest approach to the sun on its 71-year orbit.
Tapeworm larvae found in man’s brain after he complained of migraines
The patient admitted to doctors that he frequently ate undercooked bacon for most of his life.
Watch: Wildlife rehabber wears fox mask to feed rescued kit
Adorable video from a Virginia wildlife rescue center shows just how hard they work to make sure wild animals don't associate humans with food.
Women's History Month special: STEM advice from a FOX Weather meteorologist
Jane Minar currently serves as a meteorologist at FOX Weather.
Experienced surfer recounts 1st shark encounter in Hawaii: 'I was just in shock'
Experienced Hawaiian surfer Matthew White recounts his first shark encounter, despite 30 years of surfing, near Kaimana Beach.
Invasive mussels pose threat to Yellowstone National Park
Because of the park's location, the introduction of invasive mussels could put the currently mussel-free waters in Wyoming, Montana, and Idaho at risk.
Arizona couple finds rattlesnake in the backseat of the car
The woman thinks she was driving around with the snake in the back of her car for two weeks.
Strong solar flare sent blasting from Sun causing limited radio blackouts
Powerful solar flares can cause high-frequency radio blackouts, which was potentially recorded early Sunday morning.
Bear gang steals trash can from Connecticut driveway
A trio of bears was up to no good on a Connecticut property.
Fossil of ‘nightmarish’ sea reptile found in Morocco
The giant sea lizard had dagger-like teeth and was just one of the many apex predators hunting our oceans 66 million years ago.
SpaceX prepares for third Starship test flight from Texas
Space fans have about a week to prepare themselves for the excitement of yet another SpaceX Starship Super Heavy test flight from East Texas.
NASA looking to hire astronauts: Do you have what it takes?
Applicants who are accepted can expect an annual salary of $152,258 per year.
Whale that vanished from Atlantic over 200 years ago spotted off Massachusetts: 'Shouldn't exist'
Scientists from the New England Aquarium (NEA) in Boston were flying off the coast of Nantucket on Friday when they saw a leviathan that has been extinct for over 200 years: a gray whale.
Las Vegas’ Bellagio helps rescue yellow-billed loon from its fountain
The Bellagio in Las Vegas had to pause its fountain show, as it worked with officials to rescue a yellow-billed loon who “found comfort" in the water.
White shark breaks records with historic journey from South Carolina to Mexico
A white shark, LeeBeth, recently made a historic journey from South Carolina to Mexico, marking the furthest westward tracking of a white shark in the Gulf of Mexico.



















