Texas, Oklahoma submit request to join SEC
A day after the Big 12 schools notified the league that they would not be extending an agreement that binds conference members to 2025, the schools publicly stated for the first time they want to join the SEC.
A day after the Big 12 schools notified the league that they would not be extending an agreement that binds conference members to 2025, the schools publicly stated for the first time they want to join the SEC.
Supreme Court, NCAA decisions embolden advocates for college athletes compensation in California
The recent Supreme Court ruling and change in NCAA regulation allow California student athletes take advantage of the state law which permits them to profit from their name, image, and likeness.
The recent Supreme Court ruling and change in NCAA regulation allow California student athletes take advantage of the state law which permits them to profit from their name, image, and likeness.
Sheriff: KSU quarterback killed after more than '50 rounds' fired at his car in Florida Panhandle
A Kennesaw State University quarterback was found dead in the Florida Panhandle after deputies say more than 50 rounds were fired at his car.
A Kennesaw State University quarterback was found dead in the Florida Panhandle after deputies say more than 50 rounds were fired at his car.
Former Hawai'i star QB Colt Brennan, who also played at Mater Dei, dies at 37
Brennan's father says the former Heisman trophy finalist died at a hospital in California.
Brennan's father says the former Heisman trophy finalist died at a hospital in California.
Former college athletes score high court's sympathies in case against NCAA
The Supreme Court on Wednesday seemed ready to give college athletes a win in a dispute with the NCAA over rules limiting their education-related compensation.
The Supreme Court on Wednesday seemed ready to give college athletes a win in a dispute with the NCAA over rules limiting their education-related compensation.
Rutgers University requiring on-campus students to receive COVID-19 vaccines for fall semester
Rutgers University will be requiring students who are enrolled for the 2021 fall semester to be vaccinated against COVID-19, with exceptions for medical and religious reasons.
Rutgers University will be requiring students who are enrolled for the 2021 fall semester to be vaccinated against COVID-19, with exceptions for medical and religious reasons.
Ivy League cancels competition and training for spring 2021 amid ongoing COVID-19 pandemic
The Ivy League says there will be no league competition and training this spring amid the ongoing COVID-19 pandemic. Instead, teams will be relegated to local games depending on the status of public health conditions.
The Ivy League says there will be no league competition and training this spring amid the ongoing COVID-19 pandemic. Instead, teams will be relegated to local games depending on the status of public health conditions.
Pac-12 commissioner Larry Scott to step down after June 2021
Pac-12 commissioner Larry Scott will step down after June 2021, according to the conference.
Pac-12 commissioner Larry Scott will step down after June 2021, according to the conference.
Thousands of Alabama fans pack streets celebrating Crimson Tide win despite COVID-19 warnings
Thousands of maskless Alabama fans partied Monday night in the streets of Tuscaloosa after Crimson Tide’s national championship win, despite coronavirus warnings from several officials.
Thousands of maskless Alabama fans partied Monday night in the streets of Tuscaloosa after Crimson Tide’s national championship win, despite coronavirus warnings from several officials.
No. 1 Alabama wins national title 52-24 over No. 3 Ohio St
DeVonta Smith was uncoverable, Najee Harris unstoppable and Mac Jones impeccable. With a performance that was both surgical and explosive, No. 1 Alabama won the College Football Playoff national championship game 52-24 against No. 3 Ohio State on Monday night.
DeVonta Smith was uncoverable, Najee Harris unstoppable and Mac Jones impeccable. With a performance that was both surgical and explosive, No. 1 Alabama won the College Football Playoff national championship game 52-24 against No. 3 Ohio State on Monday night.
How to Win Big in the National Championship
The old adage states that there’s no such thing as a free lunch. Clearly, this wise one never played the "FOX Bet Super 6."
The old adage states that there’s no such thing as a free lunch. Clearly, this wise one never played the "FOX Bet Super 6."
Alabama's Smith becomes 1st WR to win Heisman in 29 years
Alabama's DeVonta Smith became the first wide receiver to win the Heisman Trophy in 29 seasons Tuesday night, breaking the monopoly quarterbacks have had on college football's most prestigious award by beating out three of them.
Alabama's DeVonta Smith became the first wide receiver to win the Heisman Trophy in 29 seasons Tuesday night, breaking the monopoly quarterbacks have had on college football's most prestigious award by beating out three of them.
Floyd Little, Syracuse and Broncos great, dies at 78
The Hall of Fame football player Floyd Little has died. Little was a three-time All-American at Syracuse before starring for the Denver Broncos from 1967 to 1975.
The Hall of Fame football player Floyd Little has died. Little was a three-time All-American at Syracuse before starring for the Denver Broncos from 1967 to 1975.
Texas Longhorns head coach Tom Herman let go after four seasons
Texas Longhorns football coach Tom Herman has been let go after four seasons.
Texas Longhorns football coach Tom Herman has been let go after four seasons.
Buckeyes look to break losing habits against Tigers in Sugar Bowl
No.3 Ohio State has plenty of motivation against prohibitive favorite No.2 Clemson in a rematch of last year’s semifinal matchup the Tigers won in the final moments.
No.3 Ohio State has plenty of motivation against prohibitive favorite No.2 Clemson in a rematch of last year’s semifinal matchup the Tigers won in the final moments.
Texas A&M tries to make a case against North Carolina in Orange Bowl
The Aggies look to make their case on why they deserved entry in the College Football Playoff against a talented Tar Heels squad.
The Aggies look to make their case on why they deserved entry in the College Football Playoff against a talented Tar Heels squad.
After tough loss in Big 12 Final, Cyclones look to end year strong against Ducks
With enough time to get over a loss to Oklahoma, No. 10 Iowa State has a chance to end year strong against an upstart in a No.25 Oregon squad.
With enough time to get over a loss to Oklahoma, No. 10 Iowa State has a chance to end year strong against an upstart in a No.25 Oregon squad.
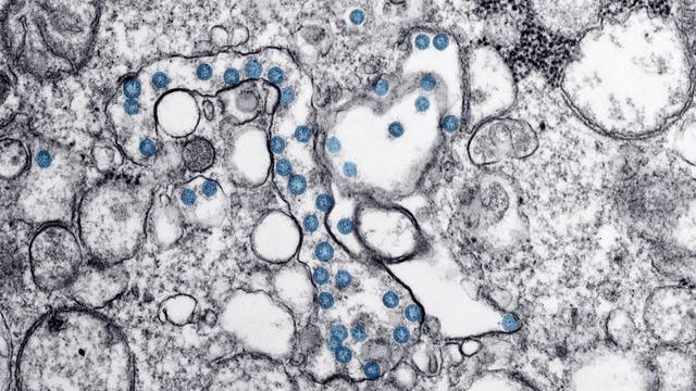
Ohio State study: 30% of student athletes have heart damage linked to COVID-19
Researchers from Ohio State University found that 30% of more than two dozen student athletes who recovered from COVID-19 exhibited cellular heart damage, and 15% showed signs of heart inflammation.
Researchers from Ohio State University found that 30% of more than two dozen student athletes who recovered from COVID-19 exhibited cellular heart damage, and 15% showed signs of heart inflammation.
Cotton Bowl looks to be a high scoring affair between Oklahoma and Florida
Both the No.6 Sooners and No.7 Gators have had some struggles on defense this season and both have shown an ability to put points on the board but both the Gators missing key components which may be the difference.
Both the No.6 Sooners and No.7 Gators have had some struggles on defense this season and both have shown an ability to put points on the board but both the Gators missing key components which may be the difference.
Cincinnati searches for respect in Peach Bowl against Georgia
The Bearcats from the American Athletic Conference seek a perfect season. To do so, they’ll have to beat the Bulldogs in Atlanta.
The Bearcats from the American Athletic Conference seek a perfect season. To do so, they’ll have to beat the Bulldogs in Atlanta.



















