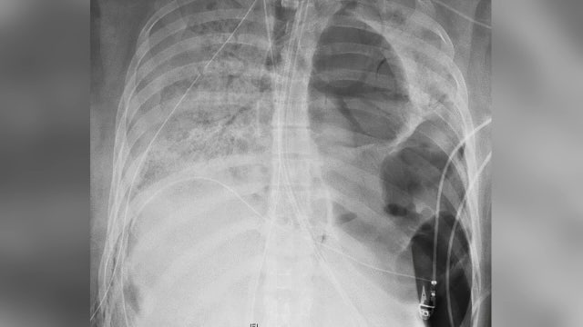
COVID-19 damages lungs of asymptomatic and most severe patients alike, scientists believe
The medical examiner for Pinellas and Pasco County has a warning for people not taking this pandemic seriously.
The medical examiner for Pinellas and Pasco County has a warning for people not taking this pandemic seriously.
How small towns are responding to the global coronavirus pandemic
The pandemic has increased local leaders’ attention to their residents’ health – not just in terms of doctors and hospitals but also identifying new ways to help people get fitter, spend more time outdoors, eat healthier and boost local economies.
The pandemic has increased local leaders’ attention to their residents’ health – not just in terms of doctors and hospitals but also identifying new ways to help people get fitter, spend more time outdoors, eat healthier and boost local economies.
Texas Starbucks barista attacked after asking customer to wear mask
The man was charged with assault and trespassing, police said.
The man was charged with assault and trespassing, police said.
New Jersey halts indoor dining restart
Indoor dining in New Jersey has been postponed because of a lack of compliance over the use of face masks and social distancing, the governor said.
Indoor dining in New Jersey has been postponed because of a lack of compliance over the use of face masks and social distancing, the governor said.
AMC pushes back movie theater reopening by 2 weeks
AMC Theaters, the nation’s largest chain, is pushing back its plans to begin reopening theaters by two weeks.
AMC Theaters, the nation’s largest chain, is pushing back its plans to begin reopening theaters by two weeks.
Fauci expresses doubts over potential COVID-19 vaccine efficacy in US due to anti-vaxxers
“So we have a lot of work to do because as you well know... there is a general anti-science, anti-authority, anti-vaccine feeling among some people in this country, an alarmingly large percentage of people, relatively speaking," Fauci said.
“So we have a lot of work to do because as you well know... there is a general anti-science, anti-authority, anti-vaccine feeling among some people in this country, an alarmingly large percentage of people, relatively speaking," Fauci said.
COVID-19 infection triggers growth of arm-like tentacles in cells, microscope images show
New electron microscope images released in a study from a team of researchers led by scientists at the University of California, San Francisco appear to show cells infected with COVID-19 growing arm-like tentacles to infect other cells.
New electron microscope images released in a study from a team of researchers led by scientists at the University of California, San Francisco appear to show cells infected with COVID-19 growing arm-like tentacles to infect other cells.
Coronavirus treatment Remdesivir to cost $3,120 for US patients with private insurance
Gilead Sciences Inc. announced its pricing for the coronavirus drug Remdesivir, stating it will charge hospitals $3,120 for a patient in the U.S. with private insurance.
Gilead Sciences Inc. announced its pricing for the coronavirus drug Remdesivir, stating it will charge hospitals $3,120 for a patient in the U.S. with private insurance.
Amazon, Lowe’s give 'thank you' bonuses to front-line US employees as coronavirus cases surge
The bonuses to employees come as the U.S. is seeing about 40,000 new confirmed cases per day.
The bonuses to employees come as the U.S. is seeing about 40,000 new confirmed cases per day.
EU finalizing coronavirus 'safe list,' US unlikely to make the cut
EU envoys in Brussels worked over the weekend to narrow down the exact criteria for countries to be included, mostly centered on their ability to manage the spread of the disease. Importantly, the countries are also expected to drop any travel restrictions they have imposed on European citizens.
EU envoys in Brussels worked over the weekend to narrow down the exact criteria for countries to be included, mostly centered on their ability to manage the spread of the disease. Importantly, the countries are also expected to drop any travel restrictions they have imposed on European citizens.
'Free them all:' Rally held outside San Quentin urging prisoner release
The outbreak started after more than 100 inmates were transferred from the men's prison in Chino last month.
The outbreak started after more than 100 inmates were transferred from the men's prison in Chino last month.
Gov. Newsom orders bars to close in several California counties as coronavirus cases rise
Gov. Gavin Newsom says California is ordering bars to close in Los Angeles County and several other counties due to the rising spread of COVID-19.
Gov. Gavin Newsom says California is ordering bars to close in Los Angeles County and several other counties due to the rising spread of COVID-19.
Gov. Ron DeSantis says he will not make face masks mandatory, says it would 'backfire'
He advised residents to continue to be vigilant and avoid crowds if you can.
He advised residents to continue to be vigilant and avoid crowds if you can.
COVID-19 death toll in NY drops to 5
Gov. Andrew Cuomo says the daily death toll caused by the coronavirus fell to 5 on Saturday — the lowest number New York state has recorded in more than three months.
Gov. Andrew Cuomo says the daily death toll caused by the coronavirus fell to 5 on Saturday — the lowest number New York state has recorded in more than three months.
Coronavirus deaths top 500K globally, more than 10M cases, according to Johns Hopkins
The milestone comes at a time when new confirmed cases are surging in different parts of the world, causing some government leaders to question their decisions to reopen.
The milestone comes at a time when new confirmed cases are surging in different parts of the world, causing some government leaders to question their decisions to reopen.
Experts recommend following these guidelines for a safe beach trip amid COVID-19 pandemic
Experts say a beach trip is low-risk as long as you follow some basic precautions.
Experts say a beach trip is low-risk as long as you follow some basic precautions.
Mike Pence visits Dallas to get update on COVID-19 response and speak at First Baptist Dallas
Vice President Mike Pence visited Dallas Sunday to get an update on the COVID-19 response here in Texas. He also spoke at First Baptist Dallas.
Vice President Mike Pence visited Dallas Sunday to get an update on the COVID-19 response here in Texas. He also spoke at First Baptist Dallas.
As cases surge in US, rural areas seeing increases as well
For many states and counties in the U.S., the dark days of the coronavirus pandemic in April unfolded on their television screens, not on their doorsteps.
For many states and counties in the U.S., the dark days of the coronavirus pandemic in April unfolded on their television screens, not on their doorsteps.
What to wear: Feds' mixed messages on masks sow confusion
The federal government has been sending a foggy message over the past few months about whether people should wear face masks during the pandemic.
The federal government has been sending a foggy message over the past few months about whether people should wear face masks during the pandemic.
Florida visitor suspected of spreading coronavirus in Westchester County
Health officials are investigating whether someone returning to the New York City area from Florida spread the coronavirus at a high school graduation in suburban Westchester County.
Health officials are investigating whether someone returning to the New York City area from Florida spread the coronavirus at a high school graduation in suburban Westchester County.




















