1st COVID-19 breath test given emergency use authorization by FDA
The Food and Drug Administration has issued an emergency use authorization for what it says is the first device that can detect COVID-19 in breath samples.
The Food and Drug Administration has issued an emergency use authorization for what it says is the first device that can detect COVID-19 in breath samples.
If you have COVID-related brain fog, these tips from a doctor may help
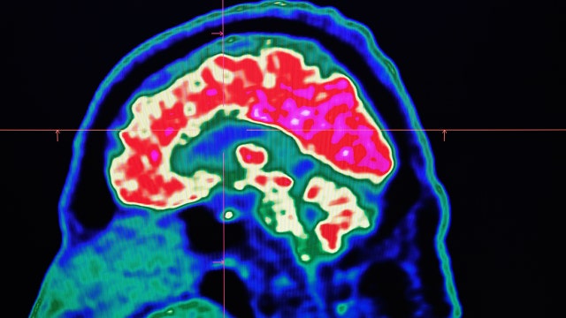
Brain fog is one of the most common and frustrating symptoms of Long COVID. An infectious disease specialist who heads up at Atlanta Long COVID clinic shares some tips that might help ease memory loss and other cognitive difficulties.
Brain fog is one of the most common and frustrating symptoms of Long COVID. An infectious disease specialist who heads up at Atlanta Long COVID clinic shares some tips that might help ease memory loss and other cognitive difficulties.
COVID-19 booster: Pfizer to seek extra shot for healthy kids 5 to 11
Pfizer said new data shows its kid-sized COVID-19 booster could help healthy elementary-aged children rev up virus-fighting antibodies and plans to seek authorization soon.
Pfizer said new data shows its kid-sized COVID-19 booster could help healthy elementary-aged children rev up virus-fighting antibodies and plans to seek authorization soon.
Germany may have to trash millions of COVID shots
Germany may have to discard 3 million doses of expired COVID-19 vaccine by the end of June, the health ministry said. The country has more doses than it can use and donate, an official said.
Germany may have to discard 3 million doses of expired COVID-19 vaccine by the end of June, the health ministry said. The country has more doses than it can use and donate, an official said.
New COVID-19 outbreaks give US glimpse at living with the virus: 'Get used to it'
The U.S. is getting a glimpse of what it’s like to experience COVID-19 outbreaks during this new phase of living with the virus, and the roster of the infected is studded with stars and Cabinet members.
The U.S. is getting a glimpse of what it’s like to experience COVID-19 outbreaks during this new phase of living with the virus, and the roster of the infected is studded with stars and Cabinet members.
Fauci expects uptick in COVID-19 cases in coming weeks, another surge in the fall
Dr. Anthony Fauci noted an increase in COVID-19 cases could come “over the next couple of weeks” potentially fueled by the high transmissibility of BA.2 — a subvariant of the omicron variant.
Dr. Anthony Fauci noted an increase in COVID-19 cases could come “over the next couple of weeks” potentially fueled by the high transmissibility of BA.2 — a subvariant of the omicron variant.
COVID-19 booster shot may be effective against omicron BA.2 variant, study shows
The study found that after a booster vaccination, levels of antibodies in the blood that could bind to and neutralize a new omicron variant increased substantially.
The study found that after a booster vaccination, levels of antibodies in the blood that could bind to and neutralize a new omicron variant increased substantially.
Appeals court OKs Biden's federal employee COVID-19 vaccine mandate
In a 2-1 ruling, a panel of the 5th Circuit Court of Appeals in New Orleans reversed a lower court and ordered dismissal of a lawsuit challenging the mandate.
In a 2-1 ruling, a panel of the 5th Circuit Court of Appeals in New Orleans reversed a lower court and ordered dismissal of a lawsuit challenging the mandate.
Man gets 90 COVID-19 shots to sell forged vaccine passes
The 60-year-old was caught at a vaccination center in Germany when he showed up for a COVID-19 shot for the second day in a row.
The 60-year-old was caught at a vaccination center in Germany when he showed up for a COVID-19 shot for the second day in a row.
Should you get another COVID vaccine booster? It depends, doctors say
If you're 50 years or older, you can now get a second booster of either Pfizer or Moderna's COVID-19 vaccine. Experts suggest you talk to your doctor to help you decide if you should get it now or wait a little longer.
If you're 50 years or older, you can now get a second booster of either Pfizer or Moderna's COVID-19 vaccine. Experts suggest you talk to your doctor to help you decide if you should get it now or wait a little longer.
COVID vaccine booster [interview]
Dr. Suraj Saggar of Holy Name Medical Center in New Jersey talks about the FDA's approval of another COVID vaccine booster as well as a new study about long COVID.
Dr. Suraj Saggar of Holy Name Medical Center in New Jersey talks about the FDA's approval of another COVID vaccine booster as well as a new study about long COVID.
FDA approves 2nd COVID-19 vaccine booster for those 50 and older
U.S. regulators are allowing people 50 and older to get another booster dose of the Pfizer or Moderna COVID-19 vaccine.
U.S. regulators are allowing people 50 and older to get another booster dose of the Pfizer or Moderna COVID-19 vaccine.
FDNY union demanding COVID vaccine exemption apply to all
The Uniformed Firefighters Association says vaccine exemptions for professional athletes and performers are a slap in the face to essential workers and firefighters.
The Uniformed Firefighters Association says vaccine exemptions for professional athletes and performers are a slap in the face to essential workers and firefighters.
Kyrie Irving and Brooklyn Nets lose first return home game after vaccine exemption
It took 75 games into the season for Kyrie Irving to finally play at Barclays Center, and it may be too late for the Nets to turn into the championship contender that was widely expected.
It took 75 games into the season for Kyrie Irving to finally play at Barclays Center, and it may be too late for the Nets to turn into the championship contender that was widely expected.
Mayor Adams defends vaccine policy change
Adams spoke with FOX 5 NY about the many issues facing the city, from the vaccination mandate being lifted for athletes and performers to the current surge of crime across the five boroughs and controversial efforts to fight it.
Adams spoke with FOX 5 NY about the many issues facing the city, from the vaccination mandate being lifted for athletes and performers to the current surge of crime across the five boroughs and controversial efforts to fight it.
NYC vaccine mandate exemption likely to trigger new lawsuits
Now that Mayor Eric Adams has created an exception to the private sector vaccine mandate for the city's professional athletes and performers, a flurry of new lawsuits is expected to be filed.
Now that Mayor Eric Adams has created an exception to the private sector vaccine mandate for the city's professional athletes and performers, a flurry of new lawsuits is expected to be filed.
Unvaccinated athletes, performers can return to playing, performing in NYC, announces Mayor Adams
New York City Mayor Eric Adams announced Thursday that he's exempting athletes and performers from the city's vaccine mandate for private workers. The mandate is effective immediately and comes just as the Major League Baseball season is set to begin.
New York City Mayor Eric Adams announced Thursday that he's exempting athletes and performers from the city's vaccine mandate for private workers. The mandate is effective immediately and comes just as the Major League Baseball season is set to begin.
COVID vaccines for little kids: What you need to know
Moderna will ask the FDA and CDC to authorize its COVID-19 vaccine for children under 6 but several hurdles need to be cleared before the shots could become available. If the shots are cleared, the littlest kids could start getting vaccinated by summer.
Moderna will ask the FDA and CDC to authorize its COVID-19 vaccine for children under 6 but several hurdles need to be cleared before the shots could become available. If the shots are cleared, the littlest kids could start getting vaccinated by summer.
Moderna says its low-dose COVID shots work for kids under 6; will seek federal approval
Moderna’s COVID-19 vaccine works in babies, toddlers and preschoolers the company announced Wednesday -- and if regulators agree it could mean a chance to finally start vaccinating the littlest kids by summer.
Moderna’s COVID-19 vaccine works in babies, toddlers and preschoolers the company announced Wednesday -- and if regulators agree it could mean a chance to finally start vaccinating the littlest kids by summer.
China reports first deaths from COVID-19 in more than a year
China’s health authorities have reported two COVID-19 deaths, the first since January 2021.
China’s health authorities have reported two COVID-19 deaths, the first since January 2021.










![COVID vaccine booster [interview]](https://images.foxtv.com/static-media.fox.com/fmcv3/prod/fts/A-34423/640/360/kbq5vn44cklrj3ie.jpg?ve=1&tl=1)








